Portfolio
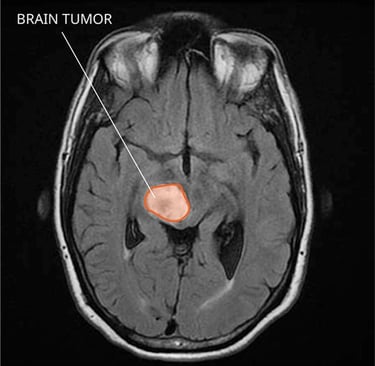
A machine learning model that can detect tumors in MRI brain scans
Can be trained at different medical centers and share the same data
Does not expose patient data, so private information is kept safe
EduShare is a UI prototype created using Balsamiq by combining several pre-existing features from video conferencing platforms, as well as designing and implementing new features.
Features include sharing multiple applications at a time and being able to choose their volume, size, and location on screen.
The prototype includes every front-end view that an end user would see
Network Attached Storage (NAS) with RAID setup for data backups
Can share files back and forth with any device on the same network using network drives
Integrated within a web browser for easy access to server features
Can stream saved media to a personal device anywhere in the world
Built using TrueNAS on an old office PC
Demonstrates how to turn on a personal computer using an optical fingerprint sensor for added security.
The sensor is controlled using an Arduino Uno microcontroller and replaces the PC's power button with a transistor circuit.
Can save multiple fingerprints to change how access is allowed
Multiple difficulty levels
Procedural level generation
High score and timer systems
Editable controls and settings
Character selection
Coded in Java
Solves any sudoku puzzles that have valid solutions.
Can be run on either a single sudoku puzzle to find the solution, or a dataset with massive amounts of puzzles to compare different search algorithms.












